Wenn Magersucht das Hirn auszehrt
 
    Wenn Magersüchtige hungern, hungert auch das Hirn: Bei jedem Dritten geht graue Substanz zurück, durchschnittlich um 18 Prozent. Bessert sich das Gewicht wieder, normalisiert sich meistens auch das Hirnvolumen. Trotzdem können Schäden bleiben.
Scientific support: Dr. Christoph Born
Published: 30.01.2013
Difficulty: intermediate
- Bei einer Magersucht mergelt nicht nur der Körper aus, auch das Gehirn kann schrumpfen. Hirn-Atrophie nennen Experten das.
- Eine deutsche Studie ergab: Magersüchtige Jugendliche haben etwa 18 Prozent weniger Volumen an grauer Substanz als gesunde Gleichaltrige. Zugleich haben die Magersüchtigen rund 27 Prozent mehr Hirnflüssigkeit als die Gesunden.
- Eine mögliche Erklärung für diesen Hirnschwund: Wegen der Mangelernährung ist wahrscheinlich die Protein-Biosynthese im zentralen Nervensystem niedriger – es werden nicht genügend Eiweiße hergestellt, um Nervenzellen fortlaufend zu reparieren oder zu regenerieren.
- Wenn die magersüchtige Person wieder zunimmt, dann normalisiert sich auch die Größe ihres Hirns.
- Allerdings besteht gerade bei Jugendlichen die Gefahr, dass sich der Hippocampus und die Amygdala wegen der Magersucht nicht richtig entwickeln können – und die Patienten deswegen später leichter depressiv werden oder Angststörungen entwickeln.
Neuron
Neuron/-/neuron
Das Neuron ist eine Zelle des Körpers, die auf Signalübertragung spezialisiert ist. Sie wird charakterisiert durch den Empfang und die Weiterleitung elektrischer oder chemischer Signale.
Hippocampus
Hippocampus/Hippocampus/hippocampual formatio
Der Hippocampus ist der größte Teil des Archicortex und ein Areal im Temporallappen. Er ist zudem ein wichtiger Teil des limbischen Systems. Funktional ist er an Gedächtnisprozessen, aber auch an räumlicher Orientierung beteiligt. Er umfasst das Subiculum, den Gyrus dentatus und das Ammonshorn mit seinen vier Feldern CA1-CA4.
Veränderungen in der Struktur des Hippocampus durch Stress werden mit Schmerzchronifizierung in Zusammenhang gebracht. Der Hippocampus spielt auch eine wichtige Rolle bei der Verstärkung von Schmerz durch Angst.
Amygdala
Amygdala/Corpus amygdaloideum/amygdala
Ein wichtiges Kerngebiet im Temporallappen, welches mit Emotionen in Verbindung gebracht wird: es bewertet den emotionalen Gehalt einer Situation und reagiert besonders auf Bedrohung. In diesem Zusammenhang wird sie auch durch Schmerzreize aktiviert und spielt eine wichtige Rolle in der emotionalen Bewertung sensorischer Reize. Die Amygdala – zu Deutsch Mandelkern – wird zum limbischen System gezählt.
Hat eine magersüchtige Person auch die Diagnose Hirn-Atrophie bekommen, dann könnte das Hormon Leptin ein Ansatzpunkt für die Therapie sein. Leptin ist ein Hormon, das von Fettzellen hergestellt wird. Schon kurzes Fasten lässt den Leptin-Spiegel im Blut sinken, bei akut Magersüchtigen ist der Leptin-Spiegel noch niedriger. Das ergaben verschiedene Studien. Wenn zu wenig Leptin im Blut ist, dann geht ein Signal an den Hypothalamus, also an die Schaltstelle im Hirn, die den Appetit und das Gewicht regelt: Achtung, zu wenig Leptin im Blut – der Appetit muss angeregt werden. „Akut Magersüchtige können dieses Hungersignal wohl psychisch übersteuern“, sagt Stefan Ehrlich von der Universitätsklinik Dresden. Es gibt aber Studien, die zeigten: Wenn man Mäusen und magersüchtigen Menschen mit Leptin-Mangel das Hormon extra gab, dann wurde mehr graue Substanz gebildet und das Gehirn wurde schwerer. Ob Leptin bei Magersucht ein sicheres und hilfreiches Medikament ist, muss noch geprüft werden.
Hormon
Hormon/-/hormone
Hormone sind chemische Botenstoffe im Körper. Sie dienen der meist langsamen Übermittlung von Informationen, in der Regel zwischen dem Gehirn und dem Körper, z.B. der Regulation des Blutzuckerspiegels. Viele Hormone werden in Drüsenzellen gebildet und in das Blut abgegeben. Am Zielort, z.B einem Organ, docken sie an Bindestellen an und lösen Prozesse im Inneren der Zelle aus. Hormone haben eine breitere Wirkung als Neurotransmitter, sie können verschiedene Funktionen in vielen Zellen des Körpers beeinflussen.
Graue Substanz
Graue Substanz/-/gray matter
Als graue Substanz wird eine Ansammlung von Nervenzellkörpern bezeichnet, wie sie in Kerngebieten oder im Cortex (Großhirnrinde) vorkommt.
Die Magersucht, auch Anorexia nervosa genannt, ist eine Essstörung, die zu starkem Untergewicht führt. Zu den Symptomen zählen unter anderem: absichtliche Gewichtsabnahme, Vermeiden kalorienreicher Nahrungsmittel oder vollständiger Verzicht auf Nahrung, tägliches Wiegen, Rituale beim Essen, Missbrauch von Abführmitteln, Bewegungsdrang, Körperschema-Störung, Verlust der Libido, Haarausfall, Haarflaum, kalte Hände und Füße, bei Patientinnen auch Ausbleiben der Regelblutung, soziale Isolation, Perfektionismus, Schuld- und Schamgefühle, Angst und Trauer.
Anorexia nervosa tritt vor allem im Alter zwischen 15 und 24 Jahren auf, und zwar fast ausschließlich bei Mädchen beziehungsweise jungen Frauen. Schätzungen zufolge sind etwa drei von 1000 jungen Frauen magersüchtig. Langzeitstudien zufolge wird knapp die Hälfte der Magersüchtigen wieder vollständig gesund, bei einem Drittel verbessern sich die Symptome, und etwa ein Fünftel bleibt chronisch anorektisch. Etwa fünf Prozent der Magersüchtigen sterben – das ist eine der höchsten Todesraten unter den psychiatrischen Krankheiten.
Magersucht ist keine Sucht im Sinne einer Substanz-Abhängigkeit wie Alkoholsucht. Sie ist auch kein Schlankheitswahn, wie es oft heißt. Betroffene berichten zum Beispiel, dass sie sich „dünn machen“ wollen, um niemandem im Weg zu sein. Ein schlankes Körperideal ist ein Risikofaktor. Die Ursachen für die Anorexie sind etwas anderes, zum Beispiel Probleme mit den familiären Strukturen und Angst vorm „Frau-Werden“ während der Pubertät. Die Ursachen sind individuell und können miteinander vernetzt sein. Studien aus den vergangenen Jahren deuten auch darauf hin, dass genetische Faktoren eine große Rolle spielen: Die komplexe genetische Störung drücke sich im Temperament während der Kindheit aus, etwa in Form von Perfektionismus oder Schadensvermeidung.
Von 61 Kilogramm auf 42 Kilogramm in zwei Monaten: Marie ist magersüchtig. „Ich habe aufgehört zu essen, weil ich gemobbt wurde“, sagt die 13-Jährige, die eigentlich anders heißt. Bald wurde dem Mädchen morgens beim Aufstehen schwarz vor Augen. Manchmal tat ihr der Kopf weh. „Ich konnte mich gar nicht mehr konzentrieren.“
Kopfschmerzen und Konzentrationsprobleme: Wenn Magersüchtige hungern, hungert auch das Gehirn. Also arbeitet es langsamer und nicht mehr so gut. „Der Intelligenzquotient liegt Schätzungen zufolge bei Menschen mit einer akuten Magersucht etwa zehn Punkte niedriger als im gesunden normalgewichtigen Zustand.“ Das sagt Stefan Ehrlich, Leiter des Zentrums für Essstörungen an der Klinik für Kinder– und Jugendpsychiatrie und –psychotherapie der Uniklinik Dresden. Er und sein Team behandeln pro Jahr rund 120 magersüchtige Jugendliche, davon 40 bis 50 stationär.
Die Magersucht, medizinisch Anorexia nervosa, ist eine Krankheit, die vor allem junge Mädchen betrifft. Sie geht meist mit massiven Scham– und Schuldgefühlen einher und kann von Ängsten und depressiver Stimmung begleitet sein. Ob diese Essstörung wirklich unter die Suchterkrankungen zu rechnen ist – als so genannte „Verhaltenssucht“ wie etwa die Computer– oder Spielsucht – ist unter Psychiatern stark umstritten (siehe Kasten: „Magersucht: Ursachen und Folgen“).
Doch da ist noch eine Folge fürs Gehirn. Eine, die nicht so offensichtlich ist: Während der Körper immer weiter ausmergelt, schrumpft auch das Gehirn. Es kommt zu einer Hirn-Atrophie, wie Mediziner sagen, umgangssprachlich auch „Hirnschwund“ genannt. Vor allem die graue Substanz geht zurück, also die Nervenzellkörper, die unter anderem die Hirnrinde ausmachen. „Dann ist der äußere Liquor-Raum erweitert. Das ist der Bereich zwischen zwei Hirnhäuten, die das Gehirn umgeben“, sagt Ehrlich.
Auge
Augapfel/Bulbus oculi/eye bulb
Das Auge ist das Sinnesorgan zur Wahrnehmung von Lichtreizen – von elektromagnetischer Strahlung eines bestimmten Frequenzbereiches. Das für den Menschen sichtbare Licht liegt im Bereich zwischen 380 und 780 Nanometer.
Intelligenzquotient
Intelligenzquotient (IQ)/-/intelligence quotient
Kenngröße, die das intellektuelle Leistungsvermögen eines Menschen ausdrücken soll. Entsprechende Tests zur Ermittlung der Intelligenz gehen mit dem Konzept einher, dass ein allgemeiner Generalfaktor der Intelligenz existiert, der in der Bevölkerung normal verteilt ist. Die ersten IQ-Tests wurden Anfang des 20. Jahrhunderts von Alfred Binet entwickelt, der damit das relative Intelligenzalter von Schulkindern bestimmen wollte. Seiner Definition zufolge bezeichnet der IQ den Quotienten aus Intelligenzalter und Lebensalter multipliziert mit 100. Dies ist demnach auch der durchschnittliche IQ eines Menschen. 95 Prozent der Bevölkerung liegen mit ihren IQ-Werten zwischen 70 und 130. Erreicht jemand einen Wert unter 70, spricht man von Intelligenzminderung, während ein Ergebnis jenseits der 130 als Hochbegabung gilt.
Graue Substanz
Graue Substanz/-/gray matter
Als graue Substanz wird eine Ansammlung von Nervenzellkörpern bezeichnet, wie sie in Kerngebieten oder im Cortex (Großhirnrinde) vorkommt.
Cortex
Großhirnrinde/Cortex cerebri/cerebral cortex
Der Cortex cerebri, kurz Cortex genannt, bezeichnet die äußerste Schicht des Großhirns. Sie ist 2,5 mm bis 5 mm dick und reich an Nervenzellen. Die Großhirnrinde ist stark gefaltet, vergleichbar einem Taschentuch in einem Becher. So entstehen zahlreiche Windungen (Gyri), Spalten (Fissurae) und Furchen (Sulci). Ausgefaltet beträgt die Oberfläche des Cortex ca 1.800 cm2.
Graue Substanz schrumpft um ein Fünftel
Außergewöhnlich konkrete Zahlen liefert eine Studie, die an der Uniklinik der RWTH Aachen durchgeführt wurde und 2012 erschien. Untersucht wurden 19 magersüchtige Mädchen im Alter zwischen zwölf und 17 Jahren, die gerade in ein Krankenhaus aufgenommen worden waren, um eine stationäre Therapie zu beginnen. In der Kontrollgruppe waren 19 Mädchen, die genauso alt waren, einen ähnlichen Intelligenzquotienten hatten, aber nicht essgestört waren. Das Gesamt-Hirnvolumen an sich – also die Menge an grauer Substanz, weißer Substanz und Hirnflüssigkeit – unterschied sich nur unwesentlich zwischen den beiden Gruppen. Doch im Detail offenbarte sich: Bei den gesunden Mädchen hatte die graue Substanz ein Volumen von durchschnittlich 739 Kubikzentimetern – bei den magersüchtigen Mädchen hingegen waren es durchschnittlich 605 Kubikzentimeter, also rund 18 Prozent weniger. An Hirnflüssigkeit hatten die gesunden Mädchen durchschnittlich 422 Kubikzentimeter – die magersüchtigen Mädchen hingegen 535 Kubikzentimeter, also gut 27 Prozent mehr. Die weiße Substanz war bei den kranken Mädchen nur ein wenig geringer als bei den gesunden.
Eines muss man jedoch bedenken bei all diesen Zahlen: Es sind immer Durchschnittswerte. Eine Magersüchtige kann durchaus mehr graue Substanz haben als eine gesunde Schulkameradin. Magersucht-Forscher Ehrlich geht davon aus: „Bei den jugendlichen Magersüchtigen ist wohl etwa ein Drittel von einer radiologisch auffallenden Atrophie betroffen.“
Marie weiß nicht, ob sie dazu zählt. Nach den zwei Monaten, in denen sie gut ein Drittel ihres Gewichts verlor, gingen die Eltern mit ihr zum Psychologen. Diagnose: Anorexia nervosa – Magersucht.
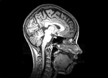
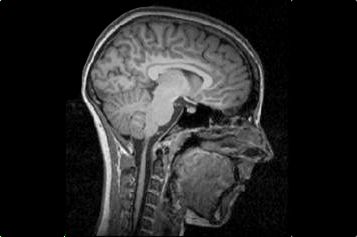
Marie wurde gleich für eine stationäre Therapie zu Stefan Ehrlich geschickt. „Hier hat man mich in eine Röhre gelegt, um Bilder von meinem Kopf aufnehmen zu können. Aber ich habe lieber nicht nachgefragt, was dabei herausgekommen ist“, sagt die Siebtklässlerin. „Ich war so schon völlig fertig.“ Maries Magnetresonanztomographie (MRT) wurde Ehrlich zufolge aber nicht durchgeführt, um zu schauen, ob ihr Hirn geschrumpft war. „Das MRT war zu Forschungszwecken. Ein klinisches MRT ist nur nötig, wenn organische Ursachen wie ein Hirntumor ausgeschlossen werden sollen. Die kognitiven Einbußen kommen manchmal auch ohne eine deutliche Atrophie vor.“
Intelligenzquotient
Intelligenzquotient (IQ)/-/intelligence quotient
Kenngröße, die das intellektuelle Leistungsvermögen eines Menschen ausdrücken soll. Entsprechende Tests zur Ermittlung der Intelligenz gehen mit dem Konzept einher, dass ein allgemeiner Generalfaktor der Intelligenz existiert, der in der Bevölkerung normal verteilt ist. Die ersten IQ-Tests wurden Anfang des 20. Jahrhunderts von Alfred Binet entwickelt, der damit das relative Intelligenzalter von Schulkindern bestimmen wollte. Seiner Definition zufolge bezeichnet der IQ den Quotienten aus Intelligenzalter und Lebensalter multipliziert mit 100. Dies ist demnach auch der durchschnittliche IQ eines Menschen. 95 Prozent der Bevölkerung liegen mit ihren IQ-Werten zwischen 70 und 130. Erreicht jemand einen Wert unter 70, spricht man von Intelligenzminderung, während ein Ergebnis jenseits der 130 als Hochbegabung gilt.
Graue Substanz
Graue Substanz/-/gray matter
Als graue Substanz wird eine Ansammlung von Nervenzellkörpern bezeichnet, wie sie in Kerngebieten oder im Cortex (Großhirnrinde) vorkommt.
Magnetresonanztomographie
Magnetresonanztomographie/-/magnetic resonance imaging
Ein bildgebendes Verfahren, das Mediziner zur Diagnose von Fehlbildungen in unterschiedlichen Geweben oder Organen des Körpers einsetzen. Die Methode wird umgangssprachlich auch Kernspin genannt. Sie beruht darauf, dass die Kerne mancher Atome einen Eigendrehimpuls besitzen, der im Magnetfeld seine Richtung ändern kann. Diese Eigenschaft trifft unter anderem auf Wasserstoff zu. Deshalb können Gewebe, die viel Wasser enthalten, besonders gut dargestellt werden. Abkürzung: MRT.
Magnetresonanztomographie
Magnetresonanztomographie/-/magnetic resonance imaging
Ein bildgebendes Verfahren, das Mediziner zur Diagnose von Fehlbildungen in unterschiedlichen Geweben oder Organen des Körpers einsetzen. Die Methode wird umgangssprachlich auch Kernspin genannt. Sie beruht darauf, dass die Kerne mancher Atome einen Eigendrehimpuls besitzen, der im Magnetfeld seine Richtung ändern kann. Diese Eigenschaft trifft unter anderem auf Wasserstoff zu. Deshalb können Gewebe, die viel Wasser enthalten, besonders gut dargestellt werden. Abkürzung: MRT.
Recommended articles
Hirnschwund ist nur vorübergehend
Mitte des 20. Jahrhunderts wurde das erste Mal in der medizinischen Fachliteratur von dieser „Hirn-Atrophie“ berichtet. Mittlerweile ist jedoch klar: Es ist nur eine Pseudo-Atrophie. Im Griechischen steht atrophia für Auszehrung. In der Medizin bedeutet eine „richtige“ Atrophie: Zellen, Gewebe oder ganze Organe schwinden. Bei einer Alkoholsucht zum Beispiel werden die Zellen im Gehirn tatsächlich zerstört – und gehen somit für immer verloren. Doch bei der Magersucht normalisiert sich das Hirnvolumen wieder, sobald sich das Gewicht normalisiert – zumindest zu einem großen Teil. Das belegen verschiedene Studien. Diese Erkenntnis ist wichtig, um herauszufinden: Was führt eigentlich zu diesem Hirnschwund? Was geht da im Kopf verloren?
Das hat Anorexie-Forscher Ehrlich in seiner Habilitation untersucht. Das Ergebnis: Unwahrscheinlich sei, dass das Hirn schrumpft, weil Flüssigkeit aus den Zellen in den Raum zwischen den Zellen fließe. Unwahrscheinlich sei auch, dass Wassermangel für das kleinere Gehirn sorge. „Magersüchtige trinken ja mitunter extra viel Wasser, um ihren Hunger zu übertünchen. Und wer stationär behandelt wird, bekommt auf jeden Fall gut zu trinken, so dass ein Flüssigkeitsmangel schnell behoben würde.“ Doch das ändere nichts am Hirnvolumen: „Das verbessert sich eben erst mit zunehmendem Gewicht.“
Was allerdings eine Erklärung sein könnte für das schrumpfende Gehirn: Wegen der Mangelernährung sei die Protein-Biosynthese im zentralen Nervensystem erniedrigt. So steht es in Ehrlichs Habilitationsschrift. Damit ist gemeint: Es werden nicht genügend Eiweiße hergestellt, um Nervenzellen fortlaufend zu reparieren oder zu regenerieren.
Doch selbst wenn die magersüchtige Person wieder mehr isst und ihr Gewicht normalisiert, selbst wenn dann das Hirn wieder besser versorgt ist und auch wieder größer wird: „Es können Schäden bleiben“, sagt Beate Herpertz-Dahlmann, Leiterin der Klinik für Psychiatrie, Psychosomatik und Psychotherapie des Kindes– und Jugendalters am Universitätsklinikum Aachen. Die Schäden entstünden vor allem, wenn man in seiner Jugend magersüchtig wird – und die Anorexie tritt nun einmal vor allem bei Jugendlichen auf.
Neuron
Neuron/-/neuron
Das Neuron ist eine Zelle des Körpers, die auf Signalübertragung spezialisiert ist. Sie wird charakterisiert durch den Empfang und die Weiterleitung elektrischer oder chemischer Signale.
Psychosomatik
Psychosomatik/-/psychosomatic medicine
Die Psychosomatik untersucht die Auswirkungen von emotionalen und kognitiven Prozessen auf den Körper, insbesondere auf das subjektive Krankheitsempfinden. Hierzu zählen seelische Probleme mit physischen Folgen wie etwa Essstörungen genauso wie Hypochondrie. Nachdem Psychologen zunächst theoretische Modelle zur Erklärung psychosomatischer Phänomene herangezogen hatten, ist das Fachgebiet seit Mitte des 20. Jahrhunderts auch Gegenstand wissenschaftlicher Untersuchungen. Seit 2003 gibt es offiziell Fachärzte für Psychosomatische Medizin und Psychotherapie.
Hippocampus und Amygdala in ihrer Entwicklung gestört
Von gesunden Menschen wisse man, dass die Hirnentwicklung sehr stark vom weiblichen Geschlechtshormon Östrogen und vom männlichen Geschlechtshormon Testosteron abhängt – vor allem während der Pubertät, wenn der Körper von diesen Sexualhormonen durchflutet wird wie nie zuvor. „Aber wenn eine Jugendliche magersüchtig ist, dann wird viel zu wenig Östrogen produziert“, sagt Herpertz-Dahlmann. „Da können sich bestimmte Hirngebiete kaum weiterentwickeln, vor allem nicht der Hippocampus und die Amygdala. Doch wenn diese zwei Hirnareale in ihrer Entwicklung gestört werden, dann kann das möglicherweise verantwortlich dafür sein, dass jemand später depressiv wird oder eine Angststörung entwickelt.“ Eine Studie aus Schweden ergab: Etwa jede vierte behandelte Magersucht-Patientin war nach 18 Jahren psychisch so krank, dass sie arbeitslos war.
Herpertz-Dahlmann spricht deswegen von einer „biologischen Narbe“, die die Magersucht im Hirn hinterlassen kann. Und sie macht sich Gedanken, wie man diese Narbe verhindern könnte. Ob es reichen würde, Östrogen zu verabreichen? „Mit den magersüchtigen Jugendlichen können wir das nicht testen, weil wir die Folgen nicht abschätzen können.“ Aber im Tierversuch ließe sich das herausfinden. Anfang 2013 wartet die Anorexie-Forscherin noch auf die Genehmigungen.
„Viele magersüchtige Patienten, die die Diagnose Hirn-Atrophie bekommen, nehmen das anfangs nicht ernst“, sagt der Arzt Ehrlich. „Das ist ja ein wichtiges Merkmal der Magersucht: die Krankheit mit all ihren Folgen zu verdrängen.“ Die Diagnose könne aber helfen, den Patienten die Augen zu öffnen.
Auch Marie wollte zunächst nicht wahrhaben, dass aus einer „Ich ernähre mich gesünder“-Diät eine Anorexie geworden war. „Aber ich habe gemerkt, dass es so nicht weitergeht.“ Zwei Monate ist sie schon in der Klinik: Psychotherapie, Bewegungstherapie und viel Essen. Sechs Kilogramm hat sie zugenommen. „Ich muss noch drei Kilo zunehmen, dann habe ich mein Mindestgewicht von 51 Kilo erreicht.“ Die Waage mag dann ein gesundes Gewicht anzeigen, doch vielleicht trägt auch Marie Narben im Kopf davon. Ihr Körper wird auf jeden Fall noch länger brauchen, um sich zu erholen. Und ihre Seele auch.
Hippocampus
Hippocampus/Hippocampus/hippocampual formatio
Der Hippocampus ist der größte Teil des Archicortex und ein Areal im Temporallappen. Er ist zudem ein wichtiger Teil des limbischen Systems. Funktional ist er an Gedächtnisprozessen, aber auch an räumlicher Orientierung beteiligt. Er umfasst das Subiculum, den Gyrus dentatus und das Ammonshorn mit seinen vier Feldern CA1-CA4.
Veränderungen in der Struktur des Hippocampus durch Stress werden mit Schmerzchronifizierung in Zusammenhang gebracht. Der Hippocampus spielt auch eine wichtige Rolle bei der Verstärkung von Schmerz durch Angst.
Amygdala
Amygdala/Corpus amygdaloideum/amygdala
Ein wichtiges Kerngebiet im Temporallappen, welches mit Emotionen in Verbindung gebracht wird: es bewertet den emotionalen Gehalt einer Situation und reagiert besonders auf Bedrohung. In diesem Zusammenhang wird sie auch durch Schmerzreize aktiviert und spielt eine wichtige Rolle in der emotionalen Bewertung sensorischer Reize. Die Amygdala – zu Deutsch Mandelkern – wird zum limbischen System gezählt.
Auge
Augapfel/Bulbus oculi/eye bulb
Das Auge ist das Sinnesorgan zur Wahrnehmung von Lichtreizen – von elektromagnetischer Strahlung eines bestimmten Frequenzbereiches. Das für den Menschen sichtbare Licht liegt im Bereich zwischen 380 und 780 Nanometer.
zum Weiterlesen:
- Ehrlich, S.: Neurobiologie der Anorexia Nervosa. Habilitationsschrift an der FU Berlin, 2011. (zum Text).
- Mainz et al.: Structural Brain Abnormalities in Adolescent Anorexia Nervosa Before and After Weight Recovery and Associated Hormonal Changes. In: Psychosomatic Medicine. 2012; 74, S. 00Y00 (zum Abstract).


 
                       
                       
                       
                       
                       
                       
                       
                       
                       
                       
                       
                       
                       
                       
                      