Der Mann ohne Gedächtnis
Durch eine Operation verlor der Amerikaner Henry Molaison die Fähigkeit, neue Erinnerungen zu formen – und die Hirnforschung gewann ihren berühmtesten Patienten.
Scientific support: Prof. Dr. Hans J. Markowitsch
Published: 26.07.2018
Difficulty: intermediate
- Einer der berühmtesten Patienten der Hirnforschung ist Henry Gustav Molaison, bekannt unter seinen Initialien HM als „Der Mann ohne Gedächtnis“.
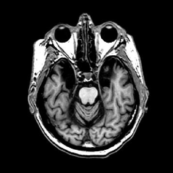
- Bei einer Operation, die HMs Epilepsie lindern sollte, wurde beidseitig fast komplett der Hippocampus entfernt, eine kleine Struktur, die jedoch für das Einspeisen neuer Erinnerungen von zentraler Bedeutung ist.
- Die Folge war eine anterograde Amnesie: HM konnte sich Neue Informaionen nicht mehr merken und blieb dadurch mental in der seiner Vergangenheit vor der Operation gefangen.
Hippocampus
Hippocampus/Hippocampus/hippocampual formatio
Der Hippocampus ist der größte Teil des Archicortex und ein Areal im Temporallappen. Er ist zudem ein wichtiger Teil des limbischen Systems. Funktional ist er an Gedächtnisprozessen, aber auch an räumlicher Orientierung beteiligt. Er umfasst das Subiculum, den Gyrus dentatus und das Ammonshorn mit seinen vier Feldern CA1-CA4.
Veränderungen in der Struktur des Hippocampus durch Stress werden mit Schmerzchronifizierung in Zusammenhang gebracht. Der Hippocampus spielt auch eine wichtige Rolle bei der Verstärkung von Schmerz durch Angst.
Amnesie
Amnesie/-/amnesia
Eine Form der Gedächtnisstörung, die das Gedächtnis für Fakten und Ereignisse betrifft. Das unbewusste Gedächtnis für zum Beispiel senso-motorische Fertigkeiten wie Auto– oder Fahrradfahren bleibt erhalten.
Am 1. September 1953, im Alter von 27 Jahren, wurde Henry Gustav Molaison im Krankenhaus von Hartford in Connecticut betäubt. Dann bohrte der Neurochirurg Wilbur Beecher Scoville zwei Löcher in den Schädel seines Patienten und entfernte auf beiden Seiten des Gehirns ein Stück des Schläfenlappens. Es war eine Operation, die Molaison weltberühmt machen sollte, weil er damit sein Gedächtnis und seine Identität verlor.
Der Grund für den Eingriff war eine schwere Epilepsie gewesen, unter der Molaison litt, seit er ein Kind war. Vielleicht war die Ursache ein Unfall, den Molaison im Alter von sieben Jahren hatte. Damals stieß er mit einem Fahrradfahrer zusammen und war einige Minuten bewusstlos. Vielleicht waren es aber auch die Gene. Immerhin war Epilepsie in der Familie von Molaisons Vater verbreitet.
Temporallappen
Temporallappen/Lobus temporalis/temporal lobe
Der Temporallappen ist einer der vier großen Lappen des Großhirns. Auf Höhe der Ohren gelegen erfüllt er zahlreiche Aufgaben – zum Temporallappen gehören der auditive Cortex genauso wie der Hippocampus und das Wernicke-Sprachzentrum.
Gedächtnis
Gedächtnis/-/memory
Gedächtnis ist ein Oberbegriff für alle Arten von Informationsspeicherung im Organismus. Dazu gehören neben dem reinen Behalten auch die Aufnahme der Information, deren Ordnung und der Abruf.
Gen
Gen/-/gene
Informationseinheit auf der DNA. Den Kernbestandteil eines Gens übersetzen darauf spezialisierte Enzyme in so genannte Ribonukleinsäure (RNA). Während manche Ribonukleinsäuren selbst wichtige Funktionen in der Zelle ausführen, geben andere die Reihenfolge vor, in der die Zelle einzelne Aminosäuren zu einem bestimmten Protein zusammenbauen soll. Das Gen liefert also den Code für dieses Protein. Zusätzlich gehören zu einem Gen noch regulatorische Elemente auf der DNA, die sicherstellen, dass das Gen genau dann abgelesen wird, wenn die Zelle oder der Organismus dessen Produkt auch wirklich benötigen.
Eine verhängnisvolle Operation
Was immer der Grund war, Medikamente halfen dem jungen Henry nicht. Stattdessen wurden die Anfälle schlimmer. Immer häufiger und heftiger trafen Henry die Attacken: Sein ganzer Körper krampfte dann, er biss sich auf die Zunge, verlor die Kontrolle über seine Blase und fiel schließlich in Ohnmacht. Als Molaison wegen der Anfälle nicht mehr arbeiten konnte, entschied er, sich am Gehirn operieren zu lassen. Der Chirurg Scoville hatte das schon bei anderen Patienten gemacht, aber das Vorgehen war, wie er selbst sagte, „experimentell“.
Tatsächlich wurden die epileptischen Anfälle nach dem Eingriff seltener, aber Henry Molaison zahlte einen furchtbaren Preis: Er litt fortan unter einer anterograden Amnesie Das bedeutet: Er konnte keine neuen Erinnerungen mehr abspeichern. Er wusste nicht, warum er im Krankenhaus war, und wenn es ihm gesagt wurde, hatte er es bald wieder vergessen. Zehn Minuten nach dem Mittagessen konnte er nicht mehr sagen, was er gerade zu sich genommen hatte. Er wusste nicht einmal mehr, dass er überhaupt gegessen hatte.
Als Scoville und die kanadische Psychologin Brenda Milner ihre Beobachtungen zu Molaison 1957 im Fachblatt „Journal of Neurology, Neurosurgery and Psychiatry“ veröffentlichten, wurde er zum „Fall H.M.“ – und zu einem der berühmtesten und wichtigsten Studienobjekte in der Geschichte der Psychologie. Die Arbeit ist in der Fachliteratur hundertfach zitiert worden und wird es heute noch. „Das ist wirklich ein Meilenstein gewesen“, sagt Hans Markowitsch, Neuropsychologe an der Universität Bielefeld (inzwischen emeritiert).
Anterograde Amnesie
Anterograde Amnesie/-/anterograde amnesia
Eine Form der Gedächtnisstörung, bei der die Bildung eines Neugedächtnisses – also der Speicherung neuer Informationen – ab dem Zeitpunkt der Schädigung nicht mehr möglich ist. Erinnerungen aus der Zeit davor können nach wie vor abgerufen werden. Betroffene vergessen meist auch ihre Vergesslichkeit.
Recommended articles
Wo das Gedächtnis sitzt
Denn zu den weithin akzeptierten Vorstellungen des Gedächtnisses gehörte damals, dass es im Gehirn nicht einen einzelnen Ort gibt, an dem Erinnerungen abgelegt werden. Der amerikanische Forscher Karl Lashley hatte in den 30er und 40er Jahren auf der Suche nach dem Sitz der Erinnerungen Teile des Gehirns bei Ratten entfernt. Aber egal welches Stück Lashley den Ratten nahm, das Gedächtnis schien unversehrt. Er schloss daraus, dass Erinnerungen im Gehirn weit verteilt abgespeichert werden.
Die Erfahrung mit H.M. widersprach dieser Annahme. Schließlich waren die Stücke, die Scoville seinem Patienten entfernt hatte, verhältnismäßig klein, die Konsequenzen aber verheerend. Wie verheerend, das sollte sich in den folgenden Jahrzehnten immer wieder zeigen. H.M. konnte sich an seine eigene Vergangenheit, an den Zweiten Weltkrieg, an das Haus seiner Eltern erinnern, aber er war in dieser Vergangenheit auch gefangen. Selbst Jahrzehnte später antwortete er auf die Frage, welches Jahr es sei: „1953“. H.M. glaubte, er sei 27 Jahre alt. Wenn er in den Spiegel guckte, blickte ihn ein viel zu alter Mann an. Als H.M. mitgeteilt wurde, dass sein Onkel gestorben sei, war er darüber sehr traurig. Wenig später hatte er die Nachricht aber wieder vergessen. Als er nach seinem Onkel fragte und hörte, der sei gestorben, machte ihn das wieder sehr traurig.
Offenbar hatte Karl Lashley bei seinen Studien am falschen Ort gesucht. In seinen Rattenexperimenten hatte er stets Teile der Hirnrinde, also der äußersten Schicht des Gehirns entfernt. Dieses Hirnareal ist in der Entwicklungsgeschichte des Gehirns das jüngste, alle anderen hielt Lashley für zu primitiv. H.M. fehlte es aber nicht an Hirnrinde, Scoville hatte einen Teil des Mandelkerns, der Amygdala, entfernt und fast den gesamten Hippocampus. Diese Region an der Innenseite der Schläfenlappen war offenbar entscheidend für das Formen neuer Erinnerungen.
Das zeigte sich auch in Tierversuchen. „Nach den Erfahrungen mit H.M. sind tausende Untersuchungen an Ratten und anderen Tieren gemacht worden“, sagt Markowitsch. Sie alle zeigten dasselbe: Wird der Hippocampus beschädigt, beeinträchtigt das die Fähigkeit, neue Erinnerungen abzuspeichern. Buschhäher finden das Essen, das sie versteckt haben, nicht wieder und Ratten finden sich in Labyrinthen nicht mehr zurecht.
Eine weitere Merkwürdigkeit im Fall H.M: Ihm fehlte zwar das Langzeitgedächtnis, aber für ein paar Sekunden konnte er sich alles merken. Viele Versuche haben gezeigt, dass sein Kurzzeitgedächtnis in etwa so gut funktionierte wie das eines gesunden Menschen. Telefonnummern oder Wortlisten etwa konnte H.M. sich kurze Zeit merken, wurde er aber nach ein paar Minuten oder Stunden noch einmal gefragt, hatte er sie vergessen. „H.M. war der Paradefall, der gezeigt hat, dass der Hippocampus zentral ist für die Übertragung vom Kurzzeit– ins Langzeitgedächtnis“, sagt Markowitsch. Was auf lange Zeit abrufbar bleiben soll, das muss offenbar durch das Nadelöhr des Hippocampus. So haben Forscher mit bildgebenden Verfahren gezeigt, dass sich Menschen aus einer Liste von Wörtern an die am besten erinnern, bei deren Lernen der Hippocampus am stärksten aktiv war.
Gedächtnis
Gedächtnis/-/memory
Gedächtnis ist ein Oberbegriff für alle Arten von Informationsspeicherung im Organismus. Dazu gehören neben dem reinen Behalten auch die Aufnahme der Information, deren Ordnung und der Abruf.
Gedächtnis
Gedächtnis/-/memory
Gedächtnis ist ein Oberbegriff für alle Arten von Informationsspeicherung im Organismus. Dazu gehören neben dem reinen Behalten auch die Aufnahme der Information, deren Ordnung und der Abruf.
Hippocampus
Hippocampus/Hippocampus/hippocampual formatio
Der Hippocampus ist der größte Teil des Archicortex und ein Areal im Temporallappen. Er ist zudem ein wichtiger Teil des limbischen Systems. Funktional ist er an Gedächtnisprozessen, aber auch an räumlicher Orientierung beteiligt. Er umfasst das Subiculum, den Gyrus dentatus und das Ammonshorn mit seinen vier Feldern CA1-CA4.
Veränderungen in der Struktur des Hippocampus durch Stress werden mit Schmerzchronifizierung in Zusammenhang gebracht. Der Hippocampus spielt auch eine wichtige Rolle bei der Verstärkung von Schmerz durch Angst.
Temporallappen
Temporallappen/Lobus temporalis/temporal lobe
Der Temporallappen ist einer der vier großen Lappen des Großhirns. Auf Höhe der Ohren gelegen erfüllt er zahlreiche Aufgaben – zum Temporallappen gehören der auditive Cortex genauso wie der Hippocampus und das Wernicke-Sprachzentrum.
Kurzzeitgedächtnis
Kurzzeitgedächtnis/-/short-term memory
Als Kurzzeitgedächtnis wird eine Art Zwischenspeicher des Gehirns bezeichnet, in dem Informationen mehrere Minuten lang behalten werden können. Der Umfang ist mit 7±2 Informationseinheiten (Chunks) sehr begrenzt. Dies können beispielsweise Zahlen, Buchstaben oder Wörter sein.
Nicht ein Gedächtnis, sondern viele
Aber H.M. hat nicht nur gezeigt, wie bedeutend der Hippocampus ist. Der Fall machte auch deutlich, dass das Gedächtnis aus verschiedenen Modulen besteht. In einem berühmten Experiment gab Brenda Milner H.M. eine Geschicklichkeitsaufgabe. Zwischen zwei ineinander geschachtelten Sternen sollte er den Umriss eines dritten Sterns zeichnen, durfte seine Hand und das Papier dabei aber nur in einem Spiegel beobachten. Obwohl H.M. sich nie daran erinnern konnte, diese Aufgabe schon einmal geübt zu haben, wurde er von Mal zu Mal besser. Einmal sagte er sogar erstaunt, er habe sich die Aufgabe schwerer vorgestellt.
Manchmal überraschte H.M. die Forscher mit anderen Erinnerungen, etwa wichtiger Persönlichkeiten, die erst nach seiner Operation berühmt wurden. So konnte er auf Nachfrage den Initialen JFK den Namen John F. Kennedy zuordnen – und wusste, dass er 1963 ermordet wurde. Und „Bob Dy…“ konnte er zu „Bob Dylan“ vervollständigen, obwohl der Musiker erst in den 60ern bekannt wurde. H.M. dürfte einer der am besten untersuchten Menschen aller Zeiten sein und trotzdem ist bis heute unklar, woher diese Erinnerungen kamen. „Die Tatsache, dass er sich überhaupt irgendetwas merken kann, reicht aus, um einen Wissenschaftler völlig umzuhauen“, sagt die Neurowissenschaftlerin Suzanne Corkin vom Massachusetts Institute of Technology, die von 1962 an bis kurz vor seinem Tod mit ihm arbeitete. Damit zeigte sich eindrucksvoll, dass das Gedächtnis aus verschiedenen Modulen besteht, die an unterschiedlichen Orten im Gehirn abgespeichert werden.
Dass H.M.s Verletzung Wissenschaftlern so geholfen hat, das Gedächtnis besser zu verstehen, scheint H.M. ein Trost gewesen zu sein. „Was Scoville über mich gelernt hat, das hat auch anderen Menschen geholfen – und darüber bin ich froh“, habe er einmal gesagt, schreibt Corkin. Überhaupt sei er ein sehr angenehmer Mensch gewesen. „Er war freundlich und hatte einen guten Sinn für Humor.“ Obwohl H.M. sie über Jahrzehnte immer und immer wieder sah, hatte er höchstens ein vages Gefühl, sie zu kennen. „Manchmal sagte er, ich käme ihm bekannt vor, so als sei ich mit ihm zur Schule gegangen“, sagte Corkin.
Molaison starb am 2. Dezember 2008 in einem Altersheim in Connecticut. Sein Leichnam wurde sofort ins Massachusetts General Hospital in Charlestown gebracht, wo Forscher unter anderem des Brain Observatory in San Diego die Nacht durcharbeiteten, um Gehirnscans anzufertigen und H.M.s Gehirn für die Nachwelt zu erhalten. Henry Molaison selbst konnte keine neuen Erinnerungen mehr formen, aber in der Welt der Wissenschaft hat er bleibende Spuren hinterlassen.
Hippocampus
Hippocampus/Hippocampus/hippocampual formatio
Der Hippocampus ist der größte Teil des Archicortex und ein Areal im Temporallappen. Er ist zudem ein wichtiger Teil des limbischen Systems. Funktional ist er an Gedächtnisprozessen, aber auch an räumlicher Orientierung beteiligt. Er umfasst das Subiculum, den Gyrus dentatus und das Ammonshorn mit seinen vier Feldern CA1-CA4.
Veränderungen in der Struktur des Hippocampus durch Stress werden mit Schmerzchronifizierung in Zusammenhang gebracht. Der Hippocampus spielt auch eine wichtige Rolle bei der Verstärkung von Schmerz durch Angst.
Gedächtnis
Gedächtnis/-/memory
Gedächtnis ist ein Oberbegriff für alle Arten von Informationsspeicherung im Organismus. Dazu gehören neben dem reinen Behalten auch die Aufnahme der Information, deren Ordnung und der Abruf.
zum Weiterlesen:
- The Brain Observatory; URL: https://www.thebrainobservatory.org/project-hm/ [Stand: 2018]; zur Webseite.
- Markowitsch, H. J. & Staniloiu, A. (2017). Lehrstück der Medizingeschichte. Die Machtspiele der Forscher um einen berühmten Patienten. Gehirn und Geist, Nr. 6, 81-82.
Veröffentlicht am 14.08.2011
Aktualisiert am 26.07.2018


