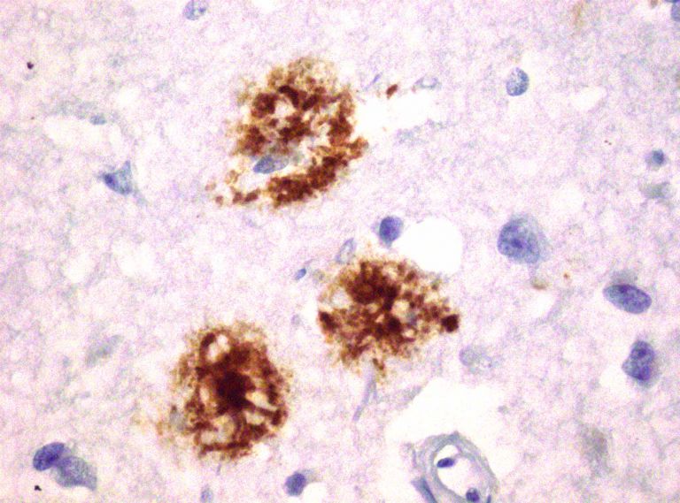
Senile Plaques bei Alzheimer
Veröffentlicht: 24.05.2013
Veröffentlicht: 24.05.2013

Bei Alzheimer-Patienten bilden sich Ablagerungen aus verklumpten Aβ-Peptiden in Form der so genannten senilen Plaques. Hier werden sie sichtbar durch Immunhistochemie. Mehr über die biochemischen Veränderungen im Gehirn erfahren Sie in den Artikeln Altern – (nicht nur) eine Frage der Biologie und Das Gehirn in seinen reifen Jahren.
Bild von Dr. Jakob Matschke, Leiter AG forensische Neuropathologie, Universitätsklinikum Hamburg-Eppendorf
Themen
Author